15748
2
Попробуй прооперируй в таких обстоятельствах.
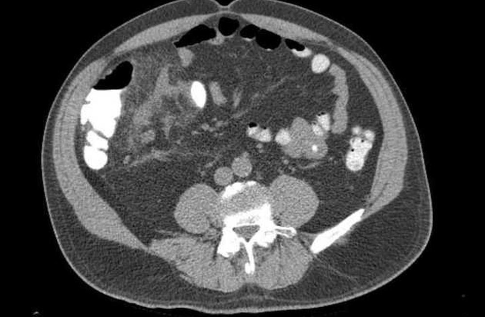
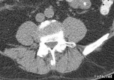
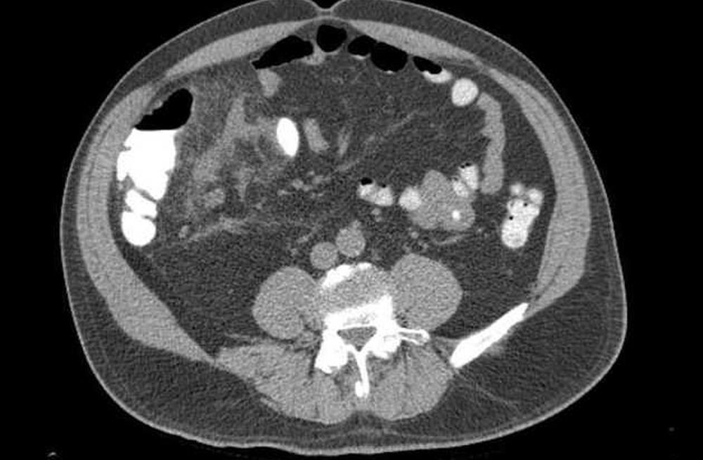
Задачка не из легких досталась врачам города Балаково Саратовской области, когда к ним поступил юный пациент с сильно избыточным весом и диагнозом острый флегмозный аппендицит. Хирургические вмешательства при таком анамнезе чреваты осложнениями, так как сильное ожирение нарушает работу сердечно-сосудистой, дыхательной, эндокринной систем, печени и почек. Помимо этого у подростка наблюдался высокий уровень сахара в крови, что указывает на возможное развитие преддиабета.
Тем не менее, операция требовалась срочная и она была проведена.
Тем не менее, операция требовалась срочная и она была проведена.
Хирургическое вмешательство осуществлялось посредством высокотехнологичной лапароскопической аппендэктомии. Все закончилось благополучно и пациент уже идет на поправку. Как говорится, попал в золотые руки.
Данный случай - маячок родителям следить за питанием своих детей и направлять их в нужное русло. Увы, сами подростки не отличаются особой организованностью и, тем более, отслеживанием своего питания.
Данный случай - маячок родителям следить за питанием своих детей и направлять их в нужное русло. Увы, сами подростки не отличаются особой организованностью и, тем более, отслеживанием своего питания.
А кому из вас удаляли аппендицит?
Ссылки по теме:
- Врач на Камчатке ползком пробирался через сугробы, чтобы доставить кровь в детскую больницу
- Игрушка, за которую стоило бороться
- Не все члены семьи были рады тому, что под рождественской елкой оказался дрон
- Когда попа больше карусели
- В Австралии кран сломался пополам и уже несколько дней висит над туристическим парком


И всё можно, но меру знать нужно
надо спрашивать: а что вы думаете про ожирение малолеток?
Или какие еще подвиги врачей вы встречали на своем пути?
На родителей еще надо посмотреть, возможно там гены во всем виноваты...
и удалить еду из дома. в принципе. кроме сырок моркови и капусты
Когда гормональный сбой, там можно на одних огурцах вес набирать.
Пример, химиотерапия - больные ничего не едят, но вес набирают на глазах, потому что гормоны - всё!
1. Насилие недопустимо
Раньше было нормальным выдать ремня за косяки. Все родители выдавали ремня своим детям. Дети общались между собой и знали, что это нормальное положение вещей. Никто его не шатал.
Сейчас это насилие над личностью и прочий комплекс приколов, когда ребёнок уже воспринимает это именно как насилие, а не воспитание. И в результате сейчас действительно недопустимо применять такую форму воздействия - просто потому что ребёнку со всех утюгов льют что "бить детей недопустимо". То есть родитель не прав становится самим фактом воздействия. А значит и воспитательный момент не сработает.
2. Вырастает поколение детей от родителей живших впроголодь, но не голодавших.
То есть мама папа помнят как им хотелось чего то вкусного и много, и теперь не ограничивают своих детей в этом. И когда вдруг осознают что вот уже надо бы и пора, то вдруг выясняется что уже поздно, и кровинушка кушает курочку на ужин в одно лицо, при этом не пашет как вол а сидит на жопе и играет за компом.